站内搜索: 您现在的位置: 肿瘤咨询在线 >> 文章中心 >> 癌症治疗 >> 正文

中央型肺癌

更新时间:2005-4-5 19:34:44 来源:本站原创 作者:佚名 可选字体【

 

 

 
左上叶中央型肺癌。胸片示左肺门区核桃大小肿块,边缘呈分叶状,右侧气管旁淋巴结增大。病理证实为腺癌。

 

左肺上叶中央型肺癌。支气管体层(上图)示左肺上叶支气管完全闭塞,阻塞端呈杯口状(黑箭头)。支气管造影(下图)示碘油不能进入阻塞的左上叶支气管(箭头)。

 

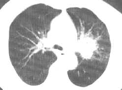
左上叶中央型肺癌。CT平扫肺窗(上图)示左肺门肿块,边缘略有分叶及细短棘状突起。增强纵隔窗(下图)示肿块略有强化,密度不均,强化程度明显低于邻近的左肺动脉。手术及病理证实为低分化鳞癌。

 

右肺中央型肺癌。MRI横断面(上图)T1加权示右肺门肿块呈等信号,冠状面(下图)示隆突下肿大淋巴结显示清晰。

[病因病理]
    中央型肺癌系起自三级支气管以内的肺癌。病理组织分型发生于支气管的肺癌多数为鳞癌,也可为未分化癌,腺癌少见。按生长类型分为:
    1.管内型:癌肿自支气管粘膜表面向管腔内生长,形成乳头、息肉或菜花样肿块,逐渐引起支气管阻塞。
    2.管壁型:癌瘤沿支气管壁内浸润生长,管壁轻度增厚或明显增厚。管腔不同程度狭窄或梗阻。
    3.管外型:癌瘤穿过支气管外膜,在支气管壁外形成肿块,支气管可有不同程度的狭窄。
[临床表现]
    临床表现可有咳嗽:以刺激性干咳多见。血痰:多为血丝痰,间断性,也可出现咯血。胸痛:一般较轻。发热:热度多不高,为癌组织坏死、毒素吸收所致。转移症状:转移部位不同,临床症状也不同,如淋巴结压迫上腔静脉可出现颈静脉怒张;喉返神经受侵导致声带麻痹、声音嘶哑;颅内转移出现恶心、头痛、呕吐等颅内高压症状等。
[影像学表现] 
    1.X线表现:
    ①癌瘤局限于粘膜,未构成支气管的狭窄及阻塞者,X线上可无阳性表现。
    ②癌瘤致支气管狭窄,可出现一侧或叶的肺气肿。深呼气位照片易于显示。
    ③癌瘤致支气管狭窄,造成分泌物引流不畅,则出现阻塞性肺炎。
    ④癌瘤致支气管阻塞则出现阻塞性肺不张。另外,癌瘤向支气管外蔓延,形成肺门区肿块。右上叶肺癌可出现典型的横“S”征。
    ⑤癌瘤主要向支气管管外蔓延,在肺门区形成肿块及结节,边缘多呈分叶状或欠规则。右侧者可示肺门角消失。
    ⑥支气管体层示支气管壁不规则增厚,管腔局限性不规则狭窄甚至截断。可见软组织肿块。
    ⑦支气管造影示管腔对称性或不规则狭窄,支气管阻断及杯口样充盈缺损。
    2.CT表现:
    ①肿瘤沿支气管壁生长,显示支气管壁不规则增厚和管腔狭窄,甚至造成支气管闭塞。
    ②肿瘤致支气管狭窄而发生阻塞性气肿、阻塞性肺炎,甚至发生肺脓肿。
    ③肿瘤形成较大肺门肿块,此时多合并肺不张,肿块与不张肺相连,形成“S”状或反“S”状边缘。
    ④中央型肺癌可直接侵犯纵隔,表现为与肺门肿瘤相连的纵隔肿块,增强检查不但有助于鉴别肺门肿块与血管,且可显示肺门及与之相连的纵隔肿块呈同样程度强化。
    3.MRI表现:
    ①受累支气管呈鼠尾状或管状狭窄,甚至完全闭塞。
    ②正常肺门区支气管和肺血管为无信号结构且肺组织也无信号,因而易于发现肺门区肿块。
    ③肿块常呈分叶状,T1加权像其信号略高于肌肉,而在T2加权像,肿块常为非均质高信号。
    ④肿块内发生坏死时,坏死区组织的T1和T2值均延长。
    ⑤肿瘤阻塞支气管可造成阻塞性肺炎或肺不张,在周围无信号肺组织衬托下得以显示。肿块与阻塞性肺炎及肺不张信号强度不一,两者可以鉴别。
    ⑥当肿瘤直接侵犯纵隔时,由于肿瘤与纵隔血管和脂肪间有明显信号差,且能横断、冠、矢状多方位显示,因此 MRI对纵隔受累的显示常优于 CT。
    ⑦MRI检查易于发现纵隔淋巴结转移,特别是冠状面成像清楚显示隆突下、主-肺动脉窗等处肿大淋巴结。与CT相同,MRI判断淋巴结增大的标准为大于15cm,同样也不能鉴别转移或炎性淋巴结增大。
[鉴别诊断]
    中央型肺癌形成较大肺门肿块,合并肺不张、阻塞性肺炎和/或并有纵隔直接侵犯和淋巴结转移时,诊断并不困难。但当肿瘤较小,沿支气管壁生长时,难与炎症性病变、结核性支气管狭窄或其他良性肿瘤鉴别,确诊需结合临床资料和支气管镜检查。

    免责声明:
    本文仅代表作者个人观点,与肿瘤咨询在线网站无关。其原创性以及文中陈述文字和内容未经本站证实,对本文以及其中全部或者部分内容、文字的真实性、完整性、及时性本站不作任何保证或承诺,请读者仅作参考,并请自行核实相关内容。


  • 上一篇文章:
  • 下一篇文章:
  • 网站简介 - 联系站长 - 友情链接 - 网站地图 - sitemap - 网站导航 - 进站必读 - 招纳义工