|
|
|
|
|
第二肝门层面(增强)
|
![]() |
| 门静脉分叉层面(增强)
|
|
|
|
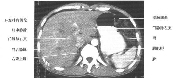
第一肝门层面(增强)
|
![]() |
| 胆囊窝、肝总动脉层面(增强)
|
![]() |
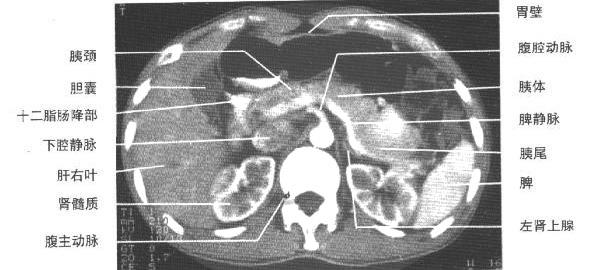
| 胰体、腹腔动脉、脾静脉层面(增强)
|
![]() |
| 胰头层面(增强)
|
![]() |
| 肝下缘、肠系膜上动、静脉层面(增强)
|
![]() |
| 肾上极层面(增强)
|
![]() |
| 肾门层面(增强)
|
![]() |
| 第五腰椎上缘层面(平扫) |
|
|
|
|
|
第二肝门层面(增强)
|
![]() |
| 门静脉分叉层面(增强)
|
|
|
|
第一肝门层面(增强)
|
![]() |
| 胆囊窝、肝总动脉层面(增强)
|
![]() |
| 胰体、腹腔动脉、脾静脉层面(增强)
|
![]() |
| 胰头层面(增强)
|
![]() |
| 肝下缘、肠系膜上动、静脉层面(增强)
|
![]() |
| 肾上极层面(增强)
|
![]() |
| 肾门层面(增强)
|
![]() |
| 第五腰椎上缘层面(平扫) |
免责声明:
本文仅代表作者个人观点,与肿瘤咨询在线网站无关。其原创性以及文中陈述文字和内容未经本站证实,对本文以及其中全部或者部分内容、文字的真实性、完整性、及时性本站不作任何保证或承诺,请读者仅作参考,并请自行核实相关内容。