|
|
|
|
|
气管分叉层面
|
![]() |
| 右上叶支气管层面
|
|
|
|
左主支气管中段层面
|
![]() |
| 左上叶固有段与舌段支气管分叉层面
|
![]() |
| 右中叶支气管开口层面
|
![]() |
| 显示双侧斜裂层面
|
![]() |
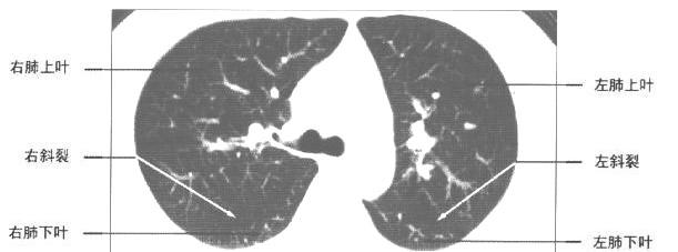
| 显示各肺叶层面
|
![]() |
| 下肺层面 |
|
|
|
|
|
气管分叉层面
|
![]() |
| 右上叶支气管层面
|
|
|
|
左主支气管中段层面
|
![]() |
| 左上叶固有段与舌段支气管分叉层面
|
![]() |
| 右中叶支气管开口层面
|
![]() |
| 显示双侧斜裂层面
|
![]() |
| 显示各肺叶层面
|
![]() |
| 下肺层面 |
免责声明:
本文仅代表作者个人观点,与肿瘤咨询在线网站无关。其原创性以及文中陈述文字和内容未经本站证实,对本文以及其中全部或者部分内容、文字的真实性、完整性、及时性本站不作任何保证或承诺,请读者仅作参考,并请自行核实相关内容。