甲状腺腺瘤
更新时间:2005-4-5 19:44:30 来源:本站原创 作者:佚名 可选字体【
大 中 小】
|
|
|
|
 |
|
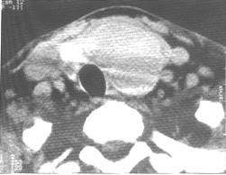
左侧甲状腺腺瘤。CT平扫示左侧甲状腺下极可见一软组织肿块,其内密度较均匀,未见明显钙化,边缘光滑锐利,周边可见低密度环。气管受压向右后偏移。 | |
| [病因病理] |
| 分为滤泡状和乳头状囊性腺瘤,腺瘤周围有完整包膜。 |
| [临床表现] |
| 无明显自觉症状,多无意中发现颈前部肿块。若肿瘤突然发生出血,肿瘤可迅速发生增大,并有疼痛和压痛。 |
| [影像学表现] |
CT表现: 1.甲状腺内单发或多发,圆形或类圆形结节,密度多为均匀,低于正常甲状腺,囊性变多见。 2.病变一般大小在1-6cm左右,边缘光滑锐利,肿块有完整包膜,病灶与正常甲状腺组织分界清楚,但与周围器官无浸润,病灶可有沙粒样钙化。 3.增强扫描可强化。实性为均匀结节状强化,囊变者呈环状强化,囊变区不强化。 |
| [鉴别诊断] |
| 需与甲状腺癌鉴别。甲状腺癌通常较大,边缘模糊,与残存正常腺体亦无分界,可有颈部淋巴结肿大。甲状腺腺瘤则无颈淋巴结肿大。 | |
免责声明:
本文仅代表作者个人观点,与肿瘤咨询在线网站无关。其原创性以及文中陈述文字和内容未经本站证实,对本文以及其中全部或者部分内容、文字的真实性、完整性、及时性本站不作任何保证或承诺,请读者仅作参考,并请自行核实相关内容。
上一篇文章: 甲状腺癌 下一篇文章: 喉癌