胸膜间皮瘤有预后较好的良性纤维性间皮瘤和弥漫型恶性胸膜间皮瘤,后者被认为是胸部预后最坏的肿瘤,至今尚无有效的治疗措施。
【诊断】
有渗出性胸水,特别有接触石棉史的病人都应考虑恶性胸膜间质皮瘤的诊断。胸部CT可确定诊断,胸部CT检查可判断胸膜钙化或骨结构有否破坏。当肿瘤侵犯膈肌和胸壁时,磁共振的显像较CT为好(图1)。虽然胸水细胞涂片、胸穿胸膜活检和胸水细胞块切片可以作出恶性的诊断,但不能鉴别胸膜转移性腺癌和恶性间皮廇。

图1 磁共振:右下胸壁恶性胸膜间皮瘤
左下肺下叶背段脏层也有恶性胸膜间皮瘤(手术证实)
高碘酸-希夫染色(PAS)是惟一可靠的组织化学方法,它能辨别恶性胸膜间皮瘤与腺癌,虽然各种转移性腺癌的特性不相同,但在淀粉酶消化后出现强阳性空泡,即可诊断为腺癌而非恶性胸膜间皮瘤。
免疫过氧化物酶技术是使用抗体作用于角朊蛋白和癌胚抗原(CEA),此法也有效地区别恶性胸膜间皮瘤于转移性腺癌。对癌胚抗原作免疫过氧化物酶染色,恶性胸膜间皮瘤的染色一般很淡可不着色。相反,腺癌染色中等和很浓。此外,以免疫过氧化物酶对角朊作研究,也显示间皮瘤与腺癌有明显的差别。目前已发现8个标志可作鉴别用:肿瘤合并糖蛋白72(B72.3),Leu-Mi,Vimentin,血栓调治素,粘蛋白成分,癌抗原阳性对腺癌有100%的特殊性和敏感性。由于癌胚抗原检验常有假阴性,故最好选用二个肿瘤标志,一般使用CEA和B72.3。如两者阳性对腺癌有100%的特殊性和88%的敏感性;如两者均阴性,对间皮瘤有100%的特殊性和97%的敏感性。
电子显微镜检查对辨别恶性胸膜间皮瘤与胸膜转移性腺癌也有用途。恶性胸膜间皮瘤区别于肺、乳腺癌和上胃肠道来源的腺癌是它表面的微绒毛细而长,且有分支,张力丝较丰富,无微绒毛的小根和片装体;来源于卵巢和子宫内膜的转移性腺癌具有内在的组织变形,包括丰富的粘蛋白小滴、大量纤毛、密集的核颗粒,这些变化在间质瘤是不存在的,腺癌的绒毛短且粗。
恶性胸膜间皮瘤的病理诊断问题仍有争论。虽然恶性间皮瘤与软组织肉瘤在一起分类,但只有20%组织学上是纯粹的肉瘤。恶性胸膜间皮瘤的33%~50%其组织学上是上皮型或管状和乳头状,而其他30%为上皮和肉瘤混合型,大多数病理学家确信只有肉瘤或混合组织的病人,才能诊断为恶性胸膜间皮瘤。综合特殊染色和电子显微镜检查资料,有经验的病理学家也愿意对上皮型的病人,作出恶性胸膜间皮瘤的诊断。
【治疗措施】
直到今日,对恶性胸膜间皮瘤尚夫有效的治疗方法,但经过某种方法治疗,国内外均有少数病人活过5年,最长者达22年,大多数人认为可能与肿瘤自然生存时间和分期有关。按Butchart分期,恶性胸膜间皮瘤分为四期(表1)。
根据临床表现,Ⅰ期上皮型恶性胸膜间皮瘤有可能长期生存,故建议为这些病人作根治性胸膜肺切除术。对Ⅱ、Ⅲ和Ⅳ期上皮型及其他病理类型的病例,无论治与不治,采用根治性或姑息性手术及使用化疗和放疗疗效与否,治疗后的生存曲线基本相同,其平均生存时间为18个月,约10%病例活过了3年。
表1 恶性胸膜间皮瘤的临床分期
| Ⅰ期 | 肿瘤局限于壁层胸膜,只累及同侧胸膜、肺、心包和纵隔 |
| Ⅱ期 | 肿瘤侵犯胸壁或累及纵隔结构,即食管、心脏和对侧胸膜。淋巴结受累只在胸部(N2) |
| Ⅲ期 | 肿瘤穿过膈肌累及腹膜,侵犯对侧胸膜和双侧胸部,累及胸部外淋巴结 |
| Ⅳ期 | 远处血源性骨转移 |
1.姑息性治疗 恶性胸膜间皮瘤病人的胸水,穿刺吸出后很快又会出现,用化学药剂注入胸膜腔内,造成胸膜粘连,大多数病人的胸水得到控制,这样胸膜固定术如果失败或在拟行诊断性开胸的病人,应考虑做胸膜剥脱术。
恶性胸膜间皮瘤可以沿穿刺孔、置胸管的通道及开胸切口播散,但所引起的皮下沉积物很少引起症状,因此不必治疗,倘若给予病人治疗,这些皮下结节还可以作为观察疗效的指标。
恶性胸膜间皮瘤病人的胸痛是最难处理的症状,在晚期特别严重,终日持续不停,对放疗无反应,应给予足够镇静止痛剂,包括鸦片类制剂以减轻疼痛,安渡生命的最后时刻。
2.外科治疗 目前已有各种治疗恶性胸膜间皮瘤外科措施,首先是扩大性胸膜肺切除术,即根治性切除被累及的部分胸壁、全肺、膈肌、纵隔和心包。此术式只适用于Ⅰ期功能上皮型恶性胸膜间皮瘤病例。严重心肺功能损害是此术的禁忌证。在第4肋间做一标准的后外侧开胸切口,将坚韧而增厚的壁层胸膜和肿瘤结节一起,钝性从胸壁剥离,此操作会引起广泛出血,可压迫、电灼和缝扎仔细彻底止血。然后,将纵隔胸膜从肺门的顶部分开,切除气管旁淋巴结。在前面,于肺尖水平,结扎乳内动脉和静脉,从前胸壁切除与这些血管和胸膜一起的所有可见淋巴结。在后面,切除食管旁和气管隆突区的淋巴结。从左侧后面相应部分切开心包。此时要决定先切肺或先切除膈肌,此顺序取决于肿瘤侵犯的部位及其延伸的范围。横断肺门和血管及支气管,处理方法像在任何心包内(扩大性)全肺切除一样。胸膜下部不像膈肌那样低位,可在游离胸膜后,在胸膜下部皱褶外切除膈肌。为充分暴露,一般要在同侧8~10肋间作第2个切口。因术中置病人于侧卧位,在切除膈肌后,肝脏倾向于由上向纵隔移位,压迫下腔静脉,导致心跳和血流障碍。切除膈肌后,其缺损可用Maxlex网或涤沦硅质材料修复,也有人用硬脊膜修复。无论采用任何材料和技术,都必须做到严密不漏,以防止血液或胸水由胸农会流入腹腔;应该用连续缝合法,将膈肌的替代物牢固缝合膈的残余边缘,使腹内脏器不能突入或疝入胸腔内。关胸前应连接胸管于吸引器负压吸引。扩大性胸膜肺切除术的手术死亡率为10%~25%,但疗效并不比胸膜切除术好,故不建议广泛应用。
第二个外科治疗措施为胸膜切除术,此术非根治性,因肿瘤常累及其下面的肺脏。此手术并不能改善恶性胸膜间皮瘤病人的生存时间,但似乎能控制胸水,改善病人的生活质量。此外,恶性胸膜间皮瘤所引起的胸痛,有时在切除胸膜后能缓解,对怀疑为恶性静膜间皮瘤的病例,拟作诊断性开胸活检时,应考虑同时做胸膜切除术。有大量胸水,而化学性胸膜固定术失败的病例,也可考虑做胸膜切除术。由上所述,胸膜切除术是姑息性手术,其目的是切除壁层胸膜和部分脏层胸膜,以预防胸水复发及减轻胸痛症状。一般治第6肋间作后外侧切口开胸,钝性或锐性游离壁层和部分被肿瘤累及的脏层胸膜,分别从胸壁和肺脏分开后摘除,此操作会引起因热传导造成脊髓或臂神经丛受损,在脊柱旁及胸腔顶切除肿瘤时,最好使用高频氩气刀。特别要小心留住胸腔顶部及纵隔区的神经和血管,尽可能切除肿瘤组织,减少其容积,有利于术后放疗和化疗。术毕置胸腔闭式引流负压吸引。
3.化学治疗 蒽环类药剂被认为对恶性胸膜间皮瘤有效,其次是顺铂、丝裂霉素、环磷酰胺、氟尿嘧啶、甲氨蝶呤、长春花碱酰胺等,目前多采用、蒽环类为主的综合化疗。近年来,统计国内外以阿霉素为主的化疗方案,总有效率为20%左右,其中较好的是阿新碱(CAO);不含蒽环类的各种治疗方案总的有效率为21%,其中较好的是丝裂霉素加顺铂(MP)。顺铂加大剂量甲氨蝶呤。化疗持续到病情不加剧为止。
4.放射治疗 外部放疗对恶性胸膜间皮瘤很失望,但扩大性体外放疗被认为有效,能缓解某些病例的胸痛及控制胸液,但对疾病病本身并无疗效。体外照射40Gy以上有姑息性疗效,50~55Gy照射缓解率为67%,少数病人生存5年以,但几乎所有病人仍死于复发或转移。
腔内放疗对少数恶性胸膜间皮瘤有某些反应,且少数病人长期疗效,看来有一线希望。主要用同位素是放射性金,它与覆盖浆膜腔的细胞有亲合性,特别适合于治疗弥漫性肿瘤,例如间皮瘤。其主要治疗效果是由于β质粒的放射性,它的穿透力达2~3mm,对早期肿瘤最有效,但很难发现早期恶性胸膜间皮瘤的病例。早年应用胶体198金注入胸膜腔内,有活过5年的少数病例,由于防护困难,目前已很少应用。
综合治疗和手术中照射或同位素132I、192Ir、32P植入腔内以及术后体外放疗加化疗等措施,均无远期治愈者。
5.综合治疗 近年来,采用综合治疗措施,在胸膜肺切除信后及CAP方案化疗(环磷酰 胺600mg/m2,阿霉素60mg/m2,,顺铂75600mg/m2,连续用5个疗程,每疗程间隔时间为3周)。术后在原来肿瘤的部位或残余肿瘤的位置作55Gy的体外照射。分析53例接受综合治疗的病人,围手术期并发症发生率17%,手术死亡率5.8%。平均生存时间16个月(1~8年)。31例上皮型病人的1、2、3年生存率分别为7%、50%和2%;混合型和肉瘤型病人的1、2年术后生存率为45%及7.5%,无一例活过25个月。局部纵隔有淋巴结转移者生存时间较无淋巴结转移者短,上皮型纵隔淋巴结阴性者,其5年生存率为45%,故早期进行治疗十分重要。
【病因学】
所有种类的石棉纤维,几乎都与间皮瘤的发病机制有关,但自给自足纤维的危险性并不相同,最危险的是接触青石绵,危险性最小的是接触黄石棉。第一次接触石棉致发病的潜伏期一般为20~40年,间皮瘤的发病率与接触石棉的时间和严重程度成正比。
大气中如毛沸石含量增加,人们吸入这种硅酸沸石的粉末,也可引起间皮瘤。也有报道接触放射线后引起胸膜间皮瘤的病例,从接触放射线到发现患胸膜间皮瘤的时间为7~36年,平均16年。亚硝胺、玻璃纤维、氢氰酸、氧化钍、铍及其它肺部疾病(如结核和化学物质及脂质吸入性肺炎),均可导致胸膜间皮瘤。
【病理改变】
在恶性间皮瘤早期,肉眼可见在正常或不透明的脏层或壁层胸膜上有众多白色或灰色颗粒和结节或薄板块,随着肿瘤的发展,胸膜表面愈来愈变厚,长满结节,肿瘤结节向四方伸延,连续成片,包囊肺脏使其窖越缩越小并使受累侧胸壁塌陷。在晚期,肿瘤可累及膈肌、肋间肌、纵隔结构、心包及对侧胸膜。尸检病人有50%发现有血源性转移,但临床很少提及。
恶性间皮瘤有两种病理解剖类型:①单个纤维性胸膜间皮瘤。从脏层胸膜生长,平板或肉茎状,肿瘤引起临床症状是由于它们扩大发展,挤压胸内结构使其移位,如能早期诊断,可作手术治疗。②广泛扩散的间皮瘤。此类型侵犯肺叶,浸润膈肌、肋间肌,可通过纵隔胸膜而累及心包和大血管。
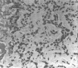
恶性间皮瘤的显微镜所见有其特色,即在单个的肿瘤结节或肉眼外观相同的肿瘤结节,都有各种明显不同的组织成分。恶性璋皮瘤的病理组织学分型有上皮型、纤维(间质)型和混合型三种。上皮型肿瘤细胞的上皮有各种不同的结构,例如乳头状、管状、管乳头状、带状功片状。多角形上皮细胞有很多长而纤细,表面有分支的微绒毛,桥粒,成束的弹力细丝和细胞间腔(图2)。纤维型细胞类似纺锤状,平等构形,有蛋形或细长形的细胞核,核仁发育良好(图3)。混合型兼有上皮型和纤维型两种组织结构。从一个肿瘤块取活检时,从各个不同的部位取的标本愈多,则愈像是混合型。

图2 恶性上皮型胸膜间皮瘤(左)及恶性胸膜间皮癌(右)

图3 恶性纤维型间皮瘤
男81岁,胶原束和各种非典型细胞膜
【临床表现】
恶性胸膜间皮瘤病人男性多于女性(2∶1)。大多数病人在40~70岁之间,国外病人平均年龄60岁,我国只45.2岁。首发症状为胸痛、咳嗽和气短最常见,约10.2%病人以发热和出汗,3.2%病人以关节痛为主诉症状。由于膈肌受累及,胸痛可传导至上腹部及患侧肩部。约50%~60%病人有大量胸水伴严重气短,其中血性胸水占3/4 。无大量胸水病人的胸痛较剧烈。体重减轻常见。有些病人出现周期性低血糖和肥大性肺性骨关节病,但这些指征在良性间皮瘤较多见。
上皮型和混合型胸膜间皮瘤常伴有大量胸水,而纤维型通常只有少量或无胸水。上皮型病人似乎更多累及锁骨上或腋下淋巴结并伸延至心包,对侧胸膜和腹膜;纤维型多有远处转移和骨转移。
放射学指征:常见X线胸片发现胸膜腔积液,常占一侧胸腔的50%。同侧肺被肿瘤组织包裹,纵隔移向有肿瘤一侧,患侧胸腔变小病情晚期胸片未纵隔增宽,心包渗液使心影扩大,可见软组织影和肋骨破坏。
在X线常规胸片上胸膜的疾病可被胸腔积液掩盖,对评价怀疑恶性胸膜间质瘤的病人,CT检查最有用,CT可显示胸膜增厚伴不规则的结节状内缘,以此从其他胸膜增厚的病变中辨别出恶性胸膜间皮瘤。由于有纤维组织和肿瘤组织和胸水,主要的肺间裂明显增厚,如为肿瘤侵犯,肺间裂可表现为结节状。通常CT可发现肺内结节及肺被肿瘤包囊缩小的程度及胸壁塌陷的情况(图4)。

图4 右侧弥漫性恶性胸膜间皮瘤
肿瘤长自壁层胸膜伸延入肺裂
胸腔积液:间皮瘤合并的胸水属渗出液,50%为血清血性液。如果肿瘤体积巨大,胸水中的血糖含量和pH值可能降低,由于含有大量透明酸(>0.8mg/ml),胸水较粘稠。胸水一般含有正常间皮细胞,分化好或未分化的恶性间皮细胞和不同量的淋巴细胞和多核白细胞。作胸水的细胞学检查有助于作出诊断。
常规实验室检查:在发病过程中可发现血小板增多症,个别报道血小板高达1000×109/L,血清癌胚抗原在某些病人升高,血清免疫电泳现象IgG、IgA或IgM升高,原因尚不时,血清胎儿蛋白一般正常。
【预后】
石棉工人患恶性胸膜间皮瘤者,其平均生存时间从出现症状到死亡只11.4个月,大部分病人在1年内死亡。下一步应更科学地综合各种治疗措施,同时开发新的技术,以便寻出更有效的药剂及诊断方法,能及早进行治疗。

