|
|
|
| Ⅰ级星形细胞瘤。CT平扫(左图)示右侧额颞部低密度病灶,密度均匀,边界清楚。增强(右图)后病灶无强化,中线结构轻微左移。
|
 |
| Ⅱ级星形细胞瘤。CT平扫(左图)示左额顶部低密度灶,其外后方可见一略高密度结节,。左侧脑室体受压,中线结构右移。增强(右图)示结节均匀强化,整个病灶呈类圆形,边界清晰,周围无甚水肿。
|
 |
| Ⅲ级星形细胞瘤。CT平扫(左图)示右颞顶部低、等混合密度灶,边界欠清。增强(右图)示病灶呈花圈状增强,周围伴中度水肿。
|
 |
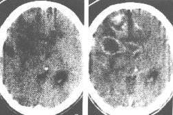
| Ⅳ级星形细胞瘤。CT平扫(左图)示右侧额颞部以低密度为主的低、等混合密度病灶。两侧脑室受压闭塞,中线结构左移。增强(右图)示病灶部分呈不均匀增强,部分呈多环状增强,形态不规则,边界欠清,周围伴中度水肿。
|
|
|
| I级星形细胞瘤。MR横断面示左侧额叶皮层与皮层下不规则异常信号影,T1加权(左图)为略低信号,T2加权(右图)为高信号。病灶周围无水肿。
|
 |
| Ⅱ级星形细胞瘤。MR横断面示左侧颞叶以囊变为主占位病变,T1加权为均匀低信号(左图),T2加权为高信号(右图),水肿轻微。
|
 |
|
Ⅲ-Ⅳ级星形细胞瘤。MR横断面示右侧额叶、岛叶类圆形肿块,边缘较清晰,信号强度不均匀,T1加权(左图)为略低信号,T2加权(右图)以高信号影为主。周边有轻度水肿带。 |