站内搜索: 您现在的位置: 肿瘤咨询在线 >> 文章中心 >> 癌症治疗 >> 正文

正常脊柱脊髓CT解剖

更新时间:2004-7-3 8:09:51 来源:xraydoor 作者:web 可选字体【

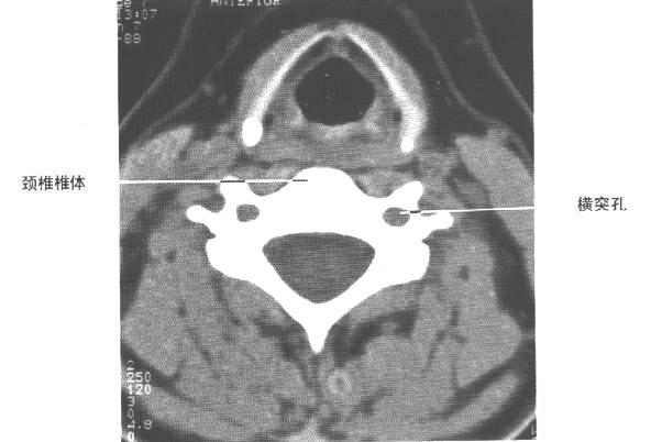
颈椎椎体层面

 

颈椎椎间孔层面

 

胸椎椎体层面

 

腰椎椎体层面

 

腰椎椎间盘层面

 

腰椎椎间孔层面

    免责声明:
    本文仅代表作者个人观点,与肿瘤咨询在线网站无关。其原创性以及文中陈述文字和内容未经本站证实,对本文以及其中全部或者部分内容、文字的真实性、完整性、及时性本站不作任何保证或承诺,请读者仅作参考,并请自行核实相关内容。


  • 上一篇文章:
  • 下一篇文章:
  • 网站简介 - 联系站长 - 友情链接 - 网站地图 - sitemap - 网站导航 - 进站必读 - 招纳义工