站内搜索: 您现在的位置: 肿瘤咨询在线 >> 文章中心 >> 癌症治疗 >> 正文

脊索瘤(Chordoma)

更新时间:2004-7-3 7:30:38 来源:xraydoor 作者:web 可选字体【

脊索瘤(Chordoma)

 

颅底脊索瘤(颅底片)
颅底脊索瘤。颅底片示枕骨基底蝶骨体和两侧蝶骨大翼内侧,翼突、犁骨后端和岩椎尖部等大片破坏,边缘清晰而不规则,破坏区有零星小骨片残留。

 

颅底脊髓瘤(CT增强)
颅底脊索瘤(CT平扫骨窗)
颅底脊索瘤。CT增强(上图)示鞍上有轻度强化肿块,内有不规则钙化。骨窗(下图)示以蝶鞍为中心广泛骨破坏。

 

脊索瘤(MRI)
脊索瘤。MRI横断面T1加权像(左图)示左中颅凹及鞍上池一椭圆形略低信号病灶,边缘清晰,左颞叶受压。T2加权像(右图)示病灶呈均匀高信号。

 

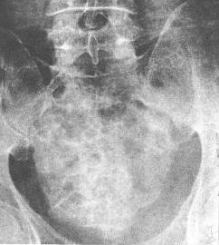
骶骨脊索瘤(平片)

骶骨脊索瘤。示骶骨中央于第1骶孔以下骨质破坏,存留骨质硬化增白,并杂有散在的钙化点。骶骨病变部略膨大,下缘向外隆起。

[病因病理]
    脊索瘤为一少见的骨肿瘤。起源于错置或残留的胚性脊索,好发于骶尾椎、颈椎上段和颅底蝶枕骨部位,肿瘤发展缓慢,很少转移,是一低度恶性肿瘤。
   肿瘤一般为软的分叶状肿块,可呈胶冻状,其内大多有出血灶和囊变灶,可见肿瘤内散在结节状钙化。组织学上,肿瘤由呈囊状或团状的泡沫细胞组成。
[临床表现]
    位于骶尾部者,一般在40-70岁之间,位于蝶枕部者,大多数在30-60之间。男性多于女性。
    症状以疼痛和肿块为主。生长速度缓慢,可达数年之久。位于骶部脊索瘤可形成骶前肿块,压迫直肠、膀胱或浸润骶神经根而产生大小便障碍,也可压迫坐骨神经而出现下肢痛。位于蝶枕部的脊索瘤可压迫视神经及其他脑神经、脑垂体、脑干等,在后期可引起颅内压增高。
[影像学表现] 
    1.头颅脊索瘤,多见于颅底之斜坡、蝶鞍附近、蝶枕软骨连合处及岩骨等处。肿瘤发生于斜坡,可向四周伸展,伸入蝶骨,使蝶骨体和大翼发生骨质破坏,并可侵犯筛窦、蝶窦、枕大孔或枕骨。蝶鞍可显著破坏。骨质破坏边界尚清楚,可有碎骨小片残留和斑片状钙质沉积。并可有软组织肿块凸入鼻咽腔,多较大,边缘光滑。
    CT表现:平扫为以斜坡或岩骨尖为中心的圆形或不规则的略高密度块影,其间散在点、片状高密度钙化灶,病灶边界较清楚,伴有明显的骨质破坏。增强后肿瘤呈均匀或不均匀强化。肿瘤较大时,可见相应的脑组织、脑池和脑室系统受压的表现。
    MRI表现:在T1加权像肿瘤信号不均,常低于脑组织的信号强度。T2加权像上肿瘤表现为高信号。肿瘤内钙化和血管常表现为不规则的低信号区,两者有时不易鉴别。
    2.脊柱发生的脊索瘤最多见于骶尾部,患骨明显膨胀,骨内正常的结构消失而呈毛玻璃样阴影,随着肿瘤的发展,肿瘤呈溶骨性缺损。有时可穿破骨皮质,形成边缘清晰的肿瘤性软组织块影,其内可有残余骨质硬化或散在不成形的钙化点。造影可显示直肠、膀胱、子宫等邻近器官或组织受压、推移改变。
[鉴别诊断]
    需与骨巨细胞瘤溶骨性转移性肿瘤鉴别。
    位于骶尾骨的骨巨细胞瘤于脊索瘤两者较难鉴别,但骨巨细胞瘤肿瘤阴影内可有肥皂泡沫样改变,无散在钙化点。  

    免责声明:
    本文仅代表作者个人观点,与肿瘤咨询在线网站无关。其原创性以及文中陈述文字和内容未经本站证实,对本文以及其中全部或者部分内容、文字的真实性、完整性、及时性本站不作任何保证或承诺,请读者仅作参考,并请自行核实相关内容。


  • 上一篇文章:
  • 下一篇文章:
  • 网站简介 - 联系站长 - 友情链接 - 网站地图 - sitemap - 网站导航 - 进站必读 - 招纳义工