站内搜索: 您现在的位置: 肿瘤咨询在线 >> 文章中心 >> 癌症治疗 >> 正文

恶性淋巴瘤(Malignant lymphoma)

更新时间:2004-6-14 6:53:26 来源:xraydoor 作者:web 可选字体【

恶性淋巴瘤
(Malignant lymphoma)

 

何杰金氏淋巴瘤(胸片)
何杰金氏淋巴瘤(胸片)
何杰金氏淋巴瘤。胸片正位(上图)示两上纵隔向两侧明显增宽呈波浪状。侧位(下图)示上纵隔的前、中部密度增高。肺门区淋巴结肿大,使其密度增高。

 

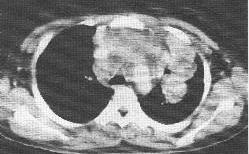
何杰金氏淋巴瘤(CT增强)
何杰金氏淋巴瘤。CT增强纵隔窗扫描示纵隔内广泛轻度强化软组织密度病变,主要位于前、中纵隔,为融合增大淋巴结,病变并侵犯左肺形成肿块。

 

淋巴瘤(MRI)
淋巴瘤(MRI)

淋巴瘤。MRI冠状面(上图)T1加权像示右中、后纵隔肿物,呈分叶状,其信号均质、高于肌组织,矢状面(下图)T1加权像示肿物主要沿主动脉后壁及气管周围生长。

[病因病理]
    恶性淋巴瘤是发生于淋巴结的全身性恶性病变。纵隔内的病变大都与周身淋巴结病变同时发现,也可先发生于纵隔。病理上包括何杰金病和非何杰金病(淋巴肉瘤和网状细胞肉瘤)。男性多见,好发于青壮年。
[临床表现]
    临床症状主要为发热和浅表淋巴结肿大,也可见纵隔脏器受压症状如呼吸困难等。临床上表现有病程短、发展快和症状重的特点。
[影像学表现] 
    1.X线表现:
    ①纵隔向两侧增宽,但一侧可更明显。
    ②肿瘤边缘清楚、呈波浪状或呈分叶状。
    ③肿瘤常致气管受压、变窄。
    ④侧位上,气管透过度下降,气管前、后密度高,边缘多欠清晰,但也可显示肿块。
    ⑤通常无钙化,但何杰金氏病放射治疗后可出现钙化。
    2.CT表现:
    ①显示气管前、血管前、主-肺动脉窗、隆突下、心包周围等多组淋巴结增大。相邻增大的淋巴结可融合成较大肿块,边缘分叶,增大淋巴结内可有坏死性低密度区。增强检查,低密度区无强化而更为明确。
    ②何杰金氏淋巴瘤易经淋巴延伸而倾向累及多组淋巴结,内乳淋巴结常受累。仅有心包和后纵隔淋巴结增大,多见于非何杰金氏淋巴瘤。
    ③纵隔淋巴瘤可自前、后纵隔侵犯胸膜外和胸壁而形成软组织肿块。
    ④病变也可经淋巴沿支气管周围侵犯肺实质。
    ⑤肺门淋巴结受累而增大。
    ⑥心包受累出现心包积液和增厚。
    ⑦胸膜下转移和胸腔积液。
    3.MRI表现:
    ①纵隔内多组淋巴结增大,以中纵隔淋巴结受累明显,同时可累及前或/和后纵隔淋巴结。
    ②增大的淋巴结常融合成较大肿块,边缘呈分叶状。
    ③T1加权像,增大淋巴结或融合的肿块呈较为均质的长T1低信号,强度略高于肌肉;T2加权像上为非均质长T2高信号。
    ④T2加权像上,病变信号强度可揭示肿瘤的活性,信号强度高提示病变为活性;反之,治疗后,肿瘤活性减低,信号强度也减弱。
    ⑤Gd-DTPA增强检查,肿瘤强化,其强度类似其他纵隔肿瘤,据此难以鉴别。
[鉴别诊断]
    常规胸片检查,纵隔向两侧增宽,边缘呈波浪状或分叶状;CT和MRI显示纵隔多组淋巴结增大或融合成较大分叶状肿块,内有坏死区,应考虑纵隔淋巴瘤。鉴别诊断包括纵隔淋巴结转移和结节病等。融合成团块的淋巴瘤需与其他纵隔恶性肿瘤如恶性畸胎瘤、恶性胸腺瘤等鉴别。纵隔淋巴结转移虽可有多组淋巴结增大,但其原发瘤常在胸部;结节病常并有肺部改变。鉴别困难时,可行细针活检穿刺。

    免责声明:
    本文仅代表作者个人观点,与肿瘤咨询在线网站无关。其原创性以及文中陈述文字和内容未经本站证实,对本文以及其中全部或者部分内容、文字的真实性、完整性、及时性本站不作任何保证或承诺,请读者仅作参考,并请自行核实相关内容。


  • 上一篇文章:
  • 下一篇文章:
  • 网站简介 - 联系站长 - 友情链接 - 网站地图 - sitemap - 网站导航 - 进站必读 - 招纳义工