畸胎类肿瘤(Teratogenous tumors)
畸胎类肿瘤 (Teratogenous tumors) |
|
|
|
|
|
 |
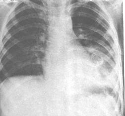
| 纵隔畸胎瘤。胸片正位(上图)示肿瘤凸入于左下肺野,于第三前肋间可见肿瘤内的骨化影。侧位(下图)示肿瘤位于后纵隔下部,轮廓较清楚,肿瘤的前上部及下部均可见骨化影。该病例的位置少见。
|
 |
|
纵隔畸胎瘤。CT平扫纵隔窗示右纵隔旁巨大肿物,占据右前胸腔,密度不均,大部分为软组织密度,也有脂肪密度及多个不规则钙化灶。 | |
| [病因病理] |
| 畸胎类肿瘤包括畸胎瘤、皮样囊肿和上皮样囊肿。属先天性发育异常,青、中年发病。男性多见。畸胎类肿瘤可为囊性或实性,前者多为良性,后者常是恶性。 |
| [临床表现] |
| 临床多无症状。如肿瘤与支气管相通,痰液中可咯出豆腐渣皮脂物质或毛发。 |
| [影像学表现] |
1.X线表现: ①纵隔向一侧增宽,形成肿块。边缘多光滑、整齐。 ②肿瘤由不同组织构成,密度可不甚均匀,囊性者密度低而均匀。 ③若于肿瘤中发现骨骼、牙齿或钙化则为特异性X线征。 ④侧位上位前纵隔,主要在胸骨体后方。 ⑤透视下,利用胸腔压力变化,对鉴别囊性或实体性有帮助。 ⑥肿瘤较大可明显向肺野内突出,且可与支气管相通,易致误诊。 2.CT表现: ①皮样囊肿与囊性畸胎瘤表现为前纵隔内混杂密度肿块,既有低密度脂肪和液体成分、也含软组织密度和/或钙化。肿块边缘光滑、边界清楚。 ②实性畸胎瘤通常为较均一软组织密度肿块,常呈分叶状,与周围结构多分界不清。 3.MRI表现: ①畸胎瘤表现为纵隔内肿块,易发生在前纵隔,偶见于纵隔其他部位,由于内含脂肪、钙化、囊性等多种成分而呈混杂信号。 ②MRI对肿块内钙化确定不及CT,但易于无示肿块与相邻低信号血管结构的关系。 常规胸片检查,前纵隔囊性肿块并含有钙化或牙齿,高度提示囊性畸胎瘤。CT和MRI检查不但能确定肿瘤大小、位置及其与邻近血管结构的关系,且可通过肿块内含有多种密度和信号成分而确诊为囊性畸胎瘤。恶性畸胎瘤定性困难。 |
| [鉴别诊断] |
| 需与其他前纵隔肿瘤如胸腺瘤、生殖细胞瘤、淋巴瘤鉴别。 | |
免责声明:
本文仅代表作者个人观点,与肿瘤咨询在线网站无关。其原创性以及文中陈述文字和内容未经本站证实,对本文以及其中全部或者部分内容、文字的真实性、完整性、及时性本站不作任何保证或承诺,请读者仅作参考,并请自行核实相关内容。
上一篇文章: 胸腺瘤(Thymoma) 下一篇文章: 恶性淋巴瘤(Malignant lymphoma)