胸膜间皮瘤(Mesothelioma of pleura)
胸膜间皮瘤 (Mesothelioma of pleura) |
|
|
|
|
| 胸膜间皮瘤。胸片示左下胸壁外侧见半圆形阴影自胸膜面突入肺野,其基底部肋骨已破坏(点击图片放大)。
|
 |
|
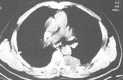
胸膜间皮瘤。CT平扫纵隔窗示左侧后胸壁、椎旁软组织密度肿块,并局部肋骨破坏。 | |
| [病因病理] |
| 胸膜间皮瘤为原发性胸膜肿瘤,可分为局限型(良性或恶性,又可分为纤维型及上皮型两种)和弥漫型(恶性)。接触石棉的工人或石棉肺的患者发病率高。 |
| [临床表现] |
| 有的病例无临床症状,有的有胸部局部刺痛或钝痛。恶性间皮瘤可有胸痛、进行性呼吸困难,血性胸水且增长迅速。 |
| [影像学表现] |
| 1.胸水多为一侧性,恶性间皮瘤80%有胸水,多为血性,大量胸水时纵隔无健侧移位,肋间隙不增宽。MRI可呈现血性胸水的信号特点。 |
| 2.胸膜不规则增厚,呈大小不等的软组织肿物影,呈半球形或椭圆形,边界清楚,与胸壁成钝角,部分肿瘤有瘤蒂形成,随体位改变肿瘤位置和形态亦可改变。瘤周胸膜可呈结节状或凹凸不平的改变。弥漫型可侵犯纵隔、心包、胸壁以及对侧胸膜。形成纵隔固定、心包积液、胸壁软组织肿块、肺内大片或大块状浸润病变。 |
| 3.肋骨或椎体骨破坏。CT有时可见肿瘤内小点状钙化。CT增强扫描肿瘤病变明显强化。MRI上T2W呈高信号强度。 |
| 4.胸膜穿刺活检有助于与胸膜转移瘤鉴别。 |
| [鉴别诊断] |
| 需与胸膜转移瘤鉴别。 | |
免责声明:
本文仅代表作者个人观点,与肿瘤咨询在线网站无关。其原创性以及文中陈述文字和内容未经本站证实,对本文以及其中全部或者部分内容、文字的真实性、完整性、及时性本站不作任何保证或承诺,请读者仅作参考,并请自行核实相关内容。
上一篇文章: 肺转移瘤(Metastatic tumors of the lung) 下一篇文章: 胸内甲状腺肿(Intrathoracic goiter)