胰腺癌(Pancreatic carcinoma)
胰腺癌(Pancreatic carcinoma) |
|
|
|
|
| 胰腺癌。胃肠钡餐示胰腺癌侵犯总胆管壶腹周围的十二指肠降段出现倒“3”字征。
|
 |
| 胰头、钩突部癌。B超示胰头、钩突部低回声肿块。MASS:肿瘤(箭头),AO:腹主动脉,GB:胆囊。
|
 |
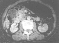
| 胰体、胰尾癌。CT增强示胰体、尾部低密度肿块(*),密度不均匀,形态不规则。
|
 |
|
 |
|
 |
|
胰头、钩突癌。CT增强钩突平面示胰头、钩突内低密度肿块(下图双箭头),致胆总管(中图三角箭头)及主胰管梗阻、扩张(上图白箭头)形成“双管征”。 | |
| [病因病理] |
胰腺癌是消化系统常见的恶性肿瘤,约占全身恶性肿瘤的1%~4%,可考虑的病因有吸烟、饮酒、饮食、某些疾病(如慢性胰腺炎等)、内分泌改变等。好发年龄50~70岁,男性多见,也见于青年及儿童。肿瘤可发生在胰腺的任何部位,但以头、颈部最多见。 组织学上胰腺癌病理类型主要分两种:导管细胞癌和腺泡细胞癌,其他类型相对少见。晚期胰腺癌可经血行转移至肝、肺、脊柱、肾或肾上腺等器官。 |
| [临床表现] |
| 胰腺癌的临床表现与胰腺癌肿块的部位及侵犯范围有关。发生于胰头者,患者主要出现黄疸,多数情况下不伴腹痛;发生于胰体、尾者,常因放射至腰背部的腹痛和腹部肿块而就诊。其他临床表现还包括消瘦、纳差、恶心、呕吐、乏力,甚至恶病质。 |
| [影像学表现] |
1.X线表现: 上消化道钡餐造影可显示十二指肠肠曲扩大,内侧壁僵直不规则,可呈倒“3”字征。 2.超声表现: 胰腺变形,可显示限局性、分叶状肿块,肿瘤内多呈低回声,内含不均匀光点,如有肿块内坏死则探及不规则液化暗区。常合并胆总管或(和)胰管扩张。 3.CT表现: (1)胰腺肿块,密度均匀或不均匀,边缘可呈分叶状,较大肿块内可见低密度坏死区。 (2)胰头部肿瘤可显示胰体、胰尾萎缩,肠系膜上动、静脉移位。若肿块发生在钩突部则尖端变圆钝,示规则或隆起的肿块。 (3)增强扫描肿瘤多呈低增强,密度低于邻近胰腺密度,因此有助于发现较小的肿瘤。 (4)胰头肿瘤多合并肝内、外胆管扩张,胰管扩张及胆囊增大,在适当的层面,扩张的总胆管、胰管同时显示,称“双管征”。 (5)肿瘤可侵犯胰腺周围器官和组织,胰头癌常累及压迫总胆管,引起梗阻性黄疸,也可侵及十二指肠,致十二指肠肠曲扩大或梗阻,侵及肠系膜上动、静脉。如胰体尾部肿瘤常累及脾门、左肾、降结肠、胃后壁等。 4.MR表现: T1加权像肿块呈不规则低信号,T2加权像肿瘤信号为明显高信号。 |
| [鉴别诊断] |
1.胰腺囊腺瘤或癌:CT表现为边界清楚或不清楚的囊、实混合性肿块,大小不等,囊壁可见局部不规则壁结节,增强扫描可见囊壁和纤维分隔的强化现象。 2.功能性胰岛细胞瘤:其显著的病理特点在于肿瘤血供十分丰富,因此CT增强扫描可显示病灶呈高密度强化特征。 3.慢性胰腺炎:表现为胰头或钩突肿大的肿块型慢性胰腺炎与胰头癌鉴别困难。下列CT表现提示慢性胰腺炎可能性大: ①胰头、钩突出现钙化灶,胰管内或胆总管内结石。 ②胰头、钩突增大,但外形规整、光滑,一般无分叶征。 ③胰周血管、邻近脏器无恶性侵犯表现。 | |
免责声明:
本文仅代表作者个人观点,与肿瘤咨询在线网站无关。其原创性以及文中陈述文字和内容未经本站证实,对本文以及其中全部或者部分内容、文字的真实性、完整性、及时性本站不作任何保证或承诺,请读者仅作参考,并请自行核实相关内容。
上一篇文章: 胆囊癌(Carcinoma of Gallbladder) 下一篇文章: 胰腺囊性肿瘤