|
|
|
颅底蝶鞍层面
|
![]() |
| 鞍上池层面(平扫)
|
|
|
|
鞍上池层面(增强)
|
![]() |
| 第三脑室下部层面
|
![]() |
| 第三脑室上部层面
|
![]() |
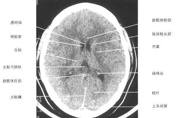
| 侧脑室体部层面
|
![]() |
| 侧脑室上部层面
|
![]() |
| 大脑皮质下部层面
|
![]() |
| 大脑皮质上部层面 |
|
|
|
颅底蝶鞍层面
|
![]() |
| 鞍上池层面(平扫)
|
|
|
|
鞍上池层面(增强)
|
![]() |
| 第三脑室下部层面
|
![]() |
| 第三脑室上部层面
|
![]() |
| 侧脑室体部层面
|
![]() |
| 侧脑室上部层面
|
![]() |
| 大脑皮质下部层面
|
![]() |
| 大脑皮质上部层面 |
免责声明:
本文仅代表作者个人观点,与肿瘤咨询在线网站无关。其原创性以及文中陈述文字和内容未经本站证实,对本文以及其中全部或者部分内容、文字的真实性、完整性、及时性本站不作任何保证或承诺,请读者仅作参考,并请自行核实相关内容。