站内搜索: 您现在的位置: 肿瘤咨询在线 >> 文章中心 >> 癌症治疗 >> 正文

髓母细胞瘤(Medulloblastoma)

更新时间:2004-7-3 7:36:51 来源:xraydoor 作者:web 可选字体【

髓母细胞瘤(Medulloblastoma)

 

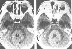
髓母细胞瘤(CT)
小脑蚓部髓母细胞瘤。CT平扫(左图)示小脑蚓部圆形高、低混合密度病灶,边界尚清,周围伴轻度水肿。第四脑室闭塞。增强后(右图)示实质部分明显强化,低密度区物强化。

 

髓母细胞瘤(MR横断面T1加权) 髓母细胞瘤(MR横断面T2加权)
髓母细胞瘤(MR横断面T1加权增强)
髓母细胞瘤(MR冠状面T1加权增强)

小脑蚓部髓母细胞瘤。MR示小脑蚓部类圆形病灶,横断面T1加权(上左图)为略低信号,T2加权(上右图)为略高信号,中间伴不规则形囊变,周围水肿轻微。增强(中图)后病灶明显强化,边缘清晰。第四脑室明显受压变形,幕上梗阻性脑积水(下图)。

[病因病理]
    髓母细胞瘤起源于后髓帆外颗粒层的残余胚细胞,好发于小脑蚓部,占所有原发颅内肿瘤的1.84%-6%,主要发生于小儿,是儿童第2位常见肿瘤,占儿童颅内肿瘤的15%-20%,40岁以上罕见,男性发病多于女性。
    大体病理因肿瘤血管丰富而呈紫红或灰红色,肿瘤界限比较清楚,质地较脆。可见坏死,钙化囊变少见。
[临床表现]
    常见症状是头痛、呕吐、步态不稳和共济失调、复视和视力减退。体检可发现视乳头水肿、眼球震颤、轮替运动障碍、闭目难立、斜颈和外展神经麻痹。脑脊液分析常见蛋白增高。病情发展较快,一般为半年至1年。对放疗敏感。
[影像学表现] 
    1.CT表现:
    ①平扫示颅后窝中线有一圆形或类圆形的高密度肿块,边缘较清楚,病灶周围环绕有低密度水肿带。
    ②10%-15%可见斑点状钙化,有较小的囊变区和坏死区,但大片出血者少见。
    ③增强扫描肿瘤呈均匀一致的中等至明显强化。
    ④第四脑室前移可呈弧线形变扁。
    ⑤80%-90%伴幕上脑室明显扩大。
    2.MR表现:
    ①小脑蚓部好发。
    ②T1加权为较均匀的低信号、T2加权为等信号或略高信号,边缘清晰。
    ③钙化、出血、坏死较少,可有小部分囊变。
    ④大多数为明显均匀的强化,少数呈中等强化。
    ⑤常压迫第四脑室,继发幕上脑积水。
[鉴别诊断]
    ①室管膜瘤:两种肿瘤常难以鉴别,但室管膜瘤位于第四脑室内,CT上可见肿瘤周围有环形线状脑脊液密度影包绕,肿瘤的密度不及髓母细胞瘤高,而呈囊性变多见。
    ②星形细胞瘤:儿童最常见的脑肿瘤是星形细胞瘤,而且好发于小脑,但多为囊性。当表现为实性肿块时,与髓母细胞瘤相似。其主要区别点是:髓母细胞瘤在平扫和增强扫描的密度均较星形细胞瘤高;其次是部位不同,髓母细胞瘤 80%以上居中线,星形细胞瘤可位中线或在小脑半球,但继发性幕上脑室扩大相对少见。

    免责声明:
    本文仅代表作者个人观点,与肿瘤咨询在线网站无关。其原创性以及文中陈述文字和内容未经本站证实,对本文以及其中全部或者部分内容、文字的真实性、完整性、及时性本站不作任何保证或承诺,请读者仅作参考,并请自行核实相关内容。


  • 上一篇文章:
  • 下一篇文章:
  • 网站简介 - 联系站长 - 友情链接 - 网站地图 - sitemap - 网站导航 - 进站必读 - 招纳义工