站内搜索: 您现在的位置: 肿瘤咨询在线 >> 文章中心 >> 癌症治疗 >> 正文

骨囊肿(Bone cyst)

更新时间:2004-7-3 7:26:56 来源:xraydoor 作者:web 可选字体【

骨囊肿(Bone cyst)

 

骨囊肿

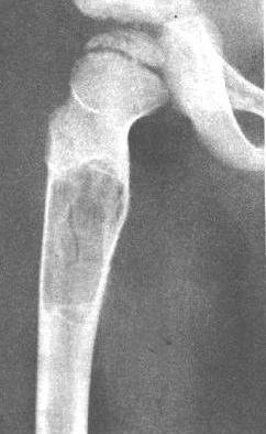
股骨骨囊肿。股骨上段骨干内椭圆形透光区,长径顺骨纵轴,边缘锐利,周围有薄层硬化增白。

[病因病理]
    骨囊肿主要见于儿童及青年,是一种发展很慢的良性肿瘤样骨疾患。囊肿一般单发,多见于肱骨、股骨及腔骨的近侧干骺端,而远端者少见。随骨骼发育成长,囊肿与骺软骨板渐远。囊肿大部分为单房性,亦可为多房性。
[临床表现]
    临床上一般无任何症状。大多数病例因轻微外伤发生病理骨折时作X线检查才被发现。
[影像学表现] 
    1.单房性囊肿呈一个圆形或卵圆形界限清晰、密度均匀的透亮区,其中无骨间隔。多房性者其中则可见大的分房状现象,骨间隔大部分与长骨纵轴垂直。
    2.病变以沿骨长轴发展为主,常有轻度膨胀,但很少向周围膨胀。膨胀使骨皮质变薄,但不致破裂,亦无骨膜反应。
    3.骨囊肿常引起病理骨折,因此而发现病变者很多。小的囊肿骨折后有的可自行消失者,大的囊肿可能缩小,也可能增大。
[鉴别诊断]
    需与骨巨细胞瘤骨纤维异常增殖症鉴别。

    免责声明:
    本文仅代表作者个人观点,与肿瘤咨询在线网站无关。其原创性以及文中陈述文字和内容未经本站证实,对本文以及其中全部或者部分内容、文字的真实性、完整性、及时性本站不作任何保证或承诺,请读者仅作参考,并请自行核实相关内容。


  • 上一篇文章:
  • 下一篇文章:
  • 网站简介 - 联系站长 - 友情链接 - 网站地图 - sitemap - 网站导航 - 进站必读 - 招纳义工