站内搜索: 您现在的位置: 肿瘤咨询在线 >> 文章中心 >> 癌症治疗 >> 正文

结核瘤(Tuberculoma)

更新时间:2004-6-14 6:41:08 来源:xraydoor 作者:web 可选字体【

结核瘤(Tuberculoma)

 

结核瘤

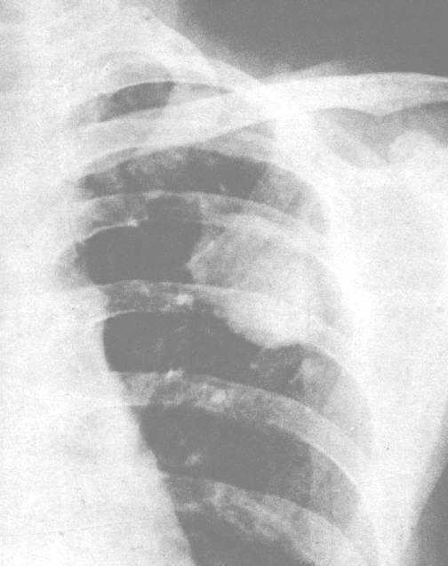
左上肺结核瘤。胸片示左锁骨下直径3.5x5.1cm团块影,为一层完整的包膜所环绕,上端包膜有粘连的现象,周围有卫星病灶。

[病因病理]
    结核瘤在病理上是一个被纤维包裹的干酪性病灶,直径不少于2cm。结核球的形成有以下四种原因:(1)由干酪样肺炎局限、纤维化形成;(2)由结核性肉芽组织发生干酪样坏死所形成;(3)由阻塞性空洞充满干酪物质所形成;(4)由靠近肺门的较大支气管结核向外发展而形成。
[临床表现]
    结核瘤患者一般无明显临床症状或征象。
[影像学表现]
    1.结核瘤大多为孤立性球形病灶,多发者少见。多位于锁骨下区。形态常为圆形或椭圆形,有时可见分叶是由几个球形病灶融合在一起形成的。轮廓清晰锐利,有时环绕着一层约1-2mm宽度的线条包膜阴影。
    2.结核瘤中心的干酪改变可以液化而形成空洞,常为厚壁性。
    3.结核瘤可以有以下几种钙化影:(1)沿包膜下产生局限性弧形钙化;(2)成层或多层环状钙化阴影;(3)弥漫性的斑点状钙化。
    4.结核瘤附近的肺野内可见有散在的结核病灶,即所谓的卫星病灶,对诊断有一定的帮助。
[鉴别诊断]
    需与周围型肺癌肺部炎性假瘤鉴别。

    免责声明:
    本文仅代表作者个人观点,与肿瘤咨询在线网站无关。其原创性以及文中陈述文字和内容未经本站证实,对本文以及其中全部或者部分内容、文字的真实性、完整性、及时性本站不作任何保证或承诺,请读者仅作参考,并请自行核实相关内容。


  • 上一篇文章:
  • 下一篇文章:
  • 网站简介 - 联系站长 - 友情链接 - 网站地图 - sitemap - 网站导航 - 进站必读 - 招纳义工